La Casa Blanca contempla recurrir la sentencia que limita su interacción con las redes
WASHINGTON.- La Casa Blanca condenó este miércoles la sentencia que limita el contacto de ciertos departamentos y agencias de la...
WASHINGTON.- La Casa Blanca condenó este miércoles la sentencia que limita el contacto de ciertos departamentos y agencias de la...
SAN SALVADOR.- La vigente campeona de la Selección Nacional de Voleibol Femenino de la República Dominicana inició con buen pie...
SAN SALVADOR-. El tenis dio a la República Dominicana dos medallas de oro y una de plata en la jornada...
SANTO DOMINGO.- La inflación de los últimos doce meses en la República Dominicana se colocó en el 4 %, la...
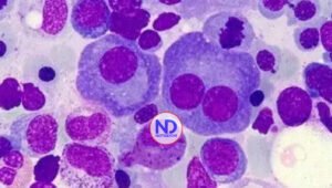
BARCELONA.- Un estudio multicéntrico liderado por el hospital Clínic de Barcelona-IDIBAPS ha demostrado la eficacia de la terapia inmunológica CAR-T...
En el segmento La Consulta la doctora, Lilliam Fondeur, responde las inquietudes de los televidentes sobre ginecología y relación de...
SANTO DOMINGO- La vicepresidenta de la República, Raquel Peña, y el Ministro de la Vivienda y Edificaciones, Carlos Bonilla, encabezaron...
WASHINGTON.- El presidente de Estados Unidos, Joe Biden, ha lamentado la nueva «ola de tiroteos trágicos y sin sentido» que...
SANTO DOMINGO.- República Dominicana alcanzó la cifra récord de 7,180,905 pasajeros transportados desde y hacia suelo dominicano entre enero y...
El productor musical boricua, Raphy Pina celebra la llegada de sus 45 años en prisión compartiendo un mensaje en sus...